- Profile
- Video
- Highlights
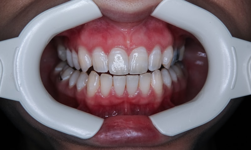
- Before & After
- Case Studies
- Skills
- Experience
- Education
Currently Available
Association Work
Services
Restorative
Ideal Locations
London, Liverpool
Devisha Patel
Restorative & Cosmetic Dentist
GDC No: 302492
Key Services & Interests
Experienced Restorative & Cosmetic Dentist with a Postgraduate Diploma in Advanced Restorative and Aesthetic Dentistry. Specialising in complex smile makeovers, implant dentistry, and comprehensive patient care.
Currently seeking association work in London and Liverpool where I can bring my expertise in digital dentistry, patient-centred care, and advanced restorative techniques to practices focused on clinical excellence.
Known for my gentle, empathetic approach with nervous patients and commitment to involving patients at every stage of their treatment journey.
Introduction Video
Get to know me better
Key Highlights
What makes me stand out
Case Studies
Clinical thinking and competence
Full Smile Makeover with Porcelain Veneers
Situation
45-year-old patient presented with severely discoloured, worn, and misaligned anterior teeth seeking a dramatic aesthetic transformation.
Treatment Plan
Comprehensive smile design including digital smile analysis, professional whitening, and placement of 10 minimally invasive porcelain veneers using advanced bonding techniques.
Treatment Plan
Comprehensive smile design including digital smile analysis, professional whitening, and placement of 10 minimally invasive porcelain veneers using advanced bonding techniques.
- Learning: Importance of digital smile design in managing patient expectations
Full Smile Makeover with Porcelain Veneers
Situation
45-year-old patient presented with severely discoloured, worn, and misaligned anterior teeth seeking a dramatic aesthetic transformation.
Treatment Plan
Comprehensive smile design including digital smile analysis, professional whitening, and placement of 10 minimally invasive porcelain veneers using advanced bonding techniques.
Treatment Plan
Comprehensive smile design including digital smile analysis, professional whitening, and placement of 10 minimally invasive porcelain veneers using advanced bonding techniques.
- Learning: Importance of digital smile design in managing patient expectations
Full Smile Makeover with Porcelain Veneers
Situation
45-year-old patient presented with severely discoloured, worn, and misaligned anterior teeth seeking a dramatic aesthetic transformation.
Treatment Plan
Comprehensive smile design including digital smile analysis, professional whitening, and placement of 10 minimally invasive porcelain veneers using advanced bonding techniques.
Treatment Plan
Comprehensive smile design including digital smile analysis, professional whitening, and placement of 10 minimally invasive porcelain veneers using advanced bonding techniques.
- Learning: Importance of digital smile design in managing patient expectations
Clinical & Practical Skills
Professional competencies
- Digitally Guided Implant Surgery
- Digitally Guided Implant Surgery
- Digitally Guided Implant Surgery
- Digitally Guided Implant Surgery
- Digitally Guided Implant Surgery
- Digitally Guided Implant Surgery
- Digitally Guided Implant Surgery
- Digitally Guided Implant Surgery
- Digitally Guided Implant Surgery
- Digitally Guided Implant Surgery
- Digitally Guided Implant Surgery
- Digitally Guided Implant Surgery
- Digitally Guided Implant Surgery
- Digitally Guided Implant Surgery
- Digitally Guided Implant Surgery
- Digitally Guided Implant Surgery
- Digitally Guided Implant Surgery
- Digitally Guided Implant Surgery
- Digitally Guided Implant Surgery
- Digitally Guided Implant Surgery
Work Experience
Professional journey
Restorative & Cosmetic Dentist
Zental Knightsbridge
March 2025 โ Present
- Leading complex cosmetic cases including full mouth rehabilitations
- Leading complex cosmetic cases including full mouth rehabilitations
- Leading complex cosmetic cases including full mouth rehabilitations
Restorative & Cosmetic Dentist
Zental Knightsbridge
March 2025 โ Present
- Leading complex cosmetic cases including full mouth rehabilitations
- Leading complex cosmetic cases including full mouth rehabilitations
- Leading complex cosmetic cases including full mouth rehabilitations
Restorative & Cosmetic Dentist
Zental Knightsbridge
March 2025 โ Present
- Leading complex cosmetic cases including full mouth rehabilitations
- Leading complex cosmetic cases including full mouth rehabilitations
- Leading complex cosmetic cases including full mouth rehabilitations
Education & Training
Qualifications and continuous professional development
Restorative & Cosmetic Dentist
Zental Knightsbridge
March 2025 โ Present
Restorative & Cosmetic Dentist
March 2025 โ Present
Zental Knightsbridge
- Professional Memberships
- British Dental Association
- British Dental Association
- British Dental Association
- British Dental Association
Professional Development & Recognition
Contributions to the profession
Professional Interests & Activities
Beyond clinical practice
- Professional Memberships
- Digital dentistry and CAD/CAM workflows
- Digital dentistry and CAD/CAM workflows
- Digital dentistry and CAD/CAM workflows
- Digital dentistry and CAD/CAM workflows
- Professional Memberships
- Digital dentistry and CAD/CAM workflows
- Digital dentistry and CAD/CAM workflows
- Digital dentistry and CAD/CAM workflows
- Digital dentistry and CAD/CAM workflows
- Professional Memberships